診療案内 ~痛みの少ない治療を心がけています~
受診の際には保険証とお薬手帳をお持ちください![]() 虫歯の予防、治療、歯周病の予防、治療のほかにも抜歯、入れ歯、義歯の治療を行います。 当院では、なるべく削らない、抜かない、痛みの少ない治療を心掛けています。 当院では炭酸ガスレーザーを導入しております レーザーで治療をすることにより今までにできなかった重度の歯周病の歯も多く残すことができ、抜歯のリスクを軽減できます。 また歯周病の予防、治療、口内炎、口角炎、知覚過敏にも用いております。 |
![]() |
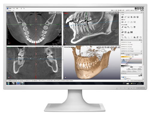
![]() お口の中の外科処置を行います。親知らずなど深く埋まっている歯を抜いたり顎関節の治療など、お口のケガやお口の中の炎症を治療します。他に口腔内の外科的小手術も行っています。 当院では歯科専用CTレントゲンを設置しております。 インプラント治療などが身近なものになるにつれて 一般歯科医院でもCTを設置するようになってきています。 しかし日本の歯科医院が7 万件近いのに、CTを導入している歯科医院は 2%にすぎません。 そのほとんどは大学病院などで、一般開業医では少ないです。 私たちは患者様が安心できる安全な治療を行いたいという思いからCTを導入しました。 3 次元の立体画像が撮影でき 細かい部分をいろいろな角度から見ることができるので 安心安全な治療に役立ちます。 例えば親不知の根の先がどの方向を向いているのか どのような形態をしているのかを 立体的にとらえることができます。 また従来の平面のレントゲンでは確認できなかった根の先の病巣や破折を確認できるようになります。 顎関節の状況もより鮮明になり、診断がしやすくなりました。 健康保険適用は歯科用レントゲンまたはパノラマ診断困難な場合で必要性が求められる場合に適用されます。 詳しくはその都度説明させていただきます。 撮影時間は10 数秒でデジタル処理をしているので時間もかかりません。 放射線の被爆は歯科用 CTで 0.04mSv、医科胸部レントゲンで 0.06mSv、成田・ニューヨ ーク往復飛行で0.02mSv です。 (備考:核医研) 放射線被爆により心配は少ないと思われます。もちろん不必要なレント ゲンを行う必要はありません。 往診にもレントゲンを持参して治療に役立てています。 |
![]() |
![]() ![]() |
|
| 〇参考URL:https://rfsystemlab.com/product/dental/ct/ct_lineup.html |
|
![]() 0歳から11歳までの小児を対象に虫歯、歯ぐきの炎症、歯が欠けてしまった、折れてしまった、抜けてしまったなども治療や定期的な健診で歯とお口の健康を保つための予防や異常を早期に発見、治療を行います。 お子様の成長に合わせて正しい噛み合わせ、歯並び、姿勢や食事(おやつを含む)の取り方を定期的な健診において指導、ケアしていく中でフッ素塗布、シーラント処置を行っております。治療の上でお子様1人1人に合った虫歯予防の大切なポイントと仕上げ研きのテクニックを歯科衛生士がご家族にもご指導しております。 また、お子さまの歯みがきレッスンは毎日受付しております。お子さまが怖がらず快適で安心して受けられるよう優しいスタッフが楽しい歯みがきレッスンを心掛けております。 歯医者さん嫌いのお子さまも安心して通院できます。歯医者さんは怖いところではないことをイメージづけられると思います。レッスンの時は普段使っている歯ブラシをご持参ください。 |
![]() ![]() |
| 母子手帳を交付されたらすぐに歯科健診 妊娠中は歯科検診に行くことをためらってしまうのではないでしょうか? レントゲンや麻酔、そして薬・・100%安全、大丈夫と思っていても心配ですよね。 妊娠と歯周病、一見あまり関わりがないように思いますが実はとても危険なつながりがあるのです。 妊娠中に歯周病に罹患してしまうと早産や低体重児のリスクは7倍に跳ね上がり喫煙によるリスクの2倍よりもはるかに高くなります。 歯周病は軽視してはいけないお口の病気であると同時に罹患しやすい病気でもあります。その理由として特に妊娠期間はつわりやホルモンバランスの乱れにより歯ブラシをまともに当てられなかったり多少の磨き残しにより歯ぐきが腫れやすくこれを放置することによって歯周病へと進行してしまいます。 大切な我が子を守るためにも歯周病にならないように、まずは定期的な健診を受けることが大切です。当院ではクリーニングとその方に合わせて歯ブラシ指導を行いますのでお気軽にお問合せ下さい。 |
![]() |
![]() 歯ならび、噛み合わせの治療をします。 見た目の美しさだけでなく歯の位置、あごの形を整えて、きちんとした歯ならび、噛み合わせにすることで表情だけでなく体のバランスが整います。 当院では歯を抜かずに歯をきれいに並べる床矯正を行っております。 |
|
![]() ![]() 虫歯、歯周病などお口の病気にならないために! 当院では予防歯科に力を入れております。歯科衛生士によるプロフェッショナルな歯石除去、歯周病治療等 歯のクリーニング、歯みがき指導などを定期的に受けていただき、当院と毎日自分で行うセルフケアの両方で歯とお口の健康を患者様と一緒に保って行きます。 最近話題の美容やアンチエイジングにも一目置かれいるデンタルエステを当院で是非お試し下さい。ガムマッサージなどもかなり以前から導入して施術しております。中高年の患者様からも喜ばれています。
|
|
![]() 当院では訪問治療用の設備を取り揃えております。 ご自宅、病院、施設などに訪問治療します。(診察室と同じ診療が受けられます。) レントゲンやポータブル治療機器を持参して治療を行いますのでご自宅や入院施設があっという間に歯医者さんになってしまいます。 通院困難な方、ご家族様はお気軽にお電話下さい。患者様がお口のトラブルから解放されるよう日程を合わせてなるべく早く伺うように心がけております。 |
![]() ![]() |
![]() ホワイトニング(オフィス・ホーム)、審美歯科、ノンクラスプデンチャー(バネのない義歯)なども行っております。 ![]() |
|



















